重度歯周病の放置は全身の健康を脅かす!イラストで学ぶ「静かなる殺し屋」の真実
「歯周病」という言葉は、テレビCMや雑誌などでよく耳にすると思います。しかし、その真の恐ろしさ、特に「重度歯周病」が全身の健康に及ぼす深刻なダメージについて、正しく理解されている方はまだ少ないかもしれません。
AI検…
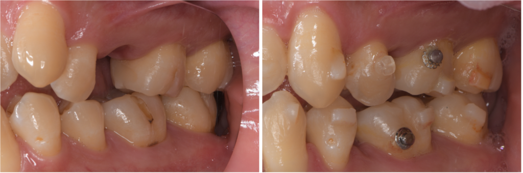
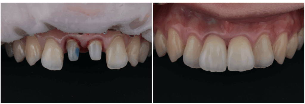
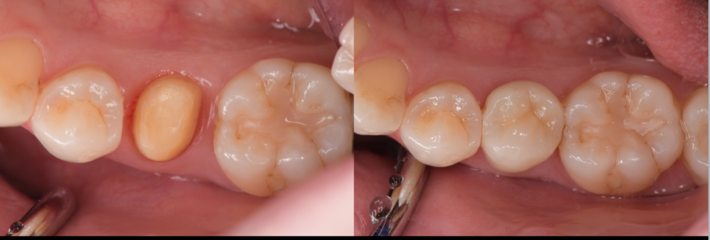
ジルコニアは機械で作るから同じ?──その認識が再治療を招きます
「ジルコニアクラウンはCAD/CAMで作るから、どこの歯医者でも同じ」もしそう考えているのであれば、その時点で治療選択を誤るリスクが高いと言えます。
結論からお伝えします。ジルコニア治療のクオリティは、“材料”ではなく“設計…
【警告】「終わらないマウスピース矯正」にご用心:広告に騙されないために
当院には、他院での矯正治療に悩む患者様から多くのご相談が寄せられます。
今日は、その中でも最近特に増えている、ある深刻な症例についてお話ししたいと思います。テーマは、**「マウスピース矯正の落とし穴」と、安易な選択に対する「警告」*…
なぜ「保険のレジン」は人気なのか?(メリット)
虫歯治療で「銀歯は嫌だから白くしてほしい」と希望すると、保険適用内で選ばれることが多いのがコンポジットレジン(歯科用プラスチック)です。
とにかく安い: 保険が適用されるため、1本あたり1,500円〜3,000円程…
奥歯の詰め物の形が、歯の寿命や噛み合わせにどのような影響を与えるかを比較したものです。
左側:現状(真っ平らな詰め物)
状態: 保険の詰め物(銀歯など)で、歯の表面が真っ平らになっています。
力の伝わり方 (Masticatory Force):
大きな赤い矢印が示すように、噛む力が一点に集中して真っ…
「噛み合わせ(咬合)は、ちょっと口の中を見ただけでは分かりません。」
これは患者さんにとって少し意外かもしれません。しかし実際には、見た目だけの判断で噛み合わせを正確に評価することはほぼ不可能です。
なぜなら、咬合とは「歯の接触」だけでなく、「顎の動き」「筋肉のバランス」「関節の位置」まで含め…
ブラキシズムによる歯への影響
ブラキシズム(歯ぎしりや食いしばり)によって歯にクラック(ひび)が入り、そこに清掃不良が重なると、歯の内部で虫歯(う蝕)が進行するリスクが非常に高まります。この一連のプロセスは、歯を失う大きな原因となり得るため、理解と対策が必要です。
…
歯の白い斑点(ホワイトスポット)が気になる方へ〜ICON(アイコン)治療で削らずに自然な見た目へ〜
「前歯に白く濁った部分がある」「矯正後に白いシミのような跡が残った」「虫歯ではないと言われたけど、見た目が気になる」
このようなお悩みはありませんか?
歯の表面にできる白い濁りは、単なる“着色”ではなく、歯の内部構造の…
歯周病は“歯ぐきの病気”ではなく、“歯を支える骨の病気”です
歯ぐきから血が出る、口臭が気になる、歯が少し揺れる――。その症状、「年齢のせい」ではなく、歯を失う前兆かもしれません。
歯周病は、日本人が歯を失う最大の原因のひとつです。しかも怖いのは、初期にはほとんど痛みがないこと。「なんとなく腫…
治療が終わったあと、「今日は何をしたのか」きちんと説明を受けていますか?
もし毎回、「はい、終わりました」「様子を見ましょう」だけで帰されているなら、一度立ち止まって考えてみてください。
あなたの大切な歯に、何が行われたのか本当に理解できていますか?
歯科治療は、見えない場所で行われる医療で…









