「同じレジン」だと思っていませんか?
ダイレクトボンディングと保険のレジン、その“決定的な違い”
「レジンですよね?保険でも白い詰め物できますよね?」
この質問、正直とても多いです。でも――同じ“白い材料”という言葉で片付けてしまうのは、あまりにも危険です…
日本の保険制度とインプラントが「相性が良く見えてしまう」構造について
――知っておいてほしい現実と注意点
これは特定の歯科医院や歯科医師を非難するものではありません。ただし、日本の保険制度の仕組みが、結果として歯を失いやすい流れとインプラント治療につながりやすい構造を生んでいる側面があるのは事…
【症例紹介】1ヶ月半のホームホワイトニングで自然に白くなったケース
〜患者さま向けに分かりやすく解説します〜
「歯を白くしたいけれど、どれくらい期間がかかるの?」「ホームホワイトニングって本当に効果があるの?」
このような疑問をお持ちの方に向けて、約1ヶ月半のホームホワイトニン…
自費で義歯(入れ歯)を作るメリットとは?
― 技工士のクオリティと、じっくり時間をかけられる治療の違い ―
「入れ歯はどこで作っても同じ」「保険でも噛めれば十分」
そう思われている方は、実はとても多いです。しかし、義歯(入れ歯)の快適さ・噛みや…
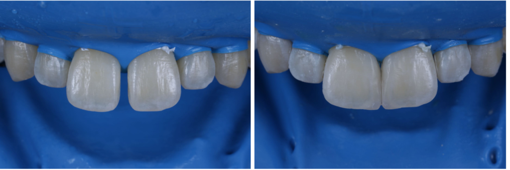
前歯の隙間をダイレクトボンディングで改善した症例|菊川駅前歯科で行う審美治療
前歯の隙間(すきっ歯)は、第一印象や笑顔に大きく影響するお悩みです。菊川駅前歯科では、歯をできるだけ削らず、短期間で自然な見た目を実現できるダイレクトボンディング治療を行っています。
前歯の隙間(正中…
海外の歯科医師が「日本の歯医者はクレイジーだ」と言う本当の理由
― 治療時間・精度・そして滅菌の話 ―
海外の歯科医師と意見交換をすると、日本の歯科医療について驚かれることがよくあります。中には、冗談ではなく真剣な表情で「日本の歯医者はクレイジーだね」と言われることもあります。
こ…
銀歯を何回もやり直している方へ
―「この歯医者で本当に大丈夫?」と不安になったあなたに読んでほしい話―
「また銀歯が外れた」「治療したはずなのに、違和感が消えない」「この歯医者で、本当にちゃんと治っているの?」
銀歯を何回もやり直している方の多くが、…
全体的な補綴歯科治療を考えている方へ
― その治療、本当に「今」と「将来」を見据えていますか?
「何本も被せ物が入っている」「昔入れた銀歯やセラミックが気になってきた」「噛みにくい・顎が疲れる・見た目も整えたい」
40代以降になると、このようなお悩…
前歯の治療、本当にセラミックが最善ですか?
― 前歯だからこそ「ダイレクトボンディング」という選択 ―
前歯の見た目が気になり、「セラミックを入れたほうがいいですか?」とご相談を受けることがよくあります。
確かにセラミックは美しく、耐久性の高い治療法です。しかし、すべて…
顕微鏡を使った精密根管治療とは?
保険の根管治療が再発しやすい本当の理由
「顕微鏡(マイクロスコープ)を使えば、保険でも同じ治療が受けられるのでは?」最近、このような疑問を持つ方が増えています。
確かに現在、マイクロスコープ自体は保険収載されて…







