「歯を白くする」だけじゃない?ホームホワイトニングが虫歯予防と歯質強化に効く驚きの理由
1. はじめに:その「白さ」への憧れ、実は健康への第一歩です
「鏡を見るたび、歯の黄ばみが気になる……」 「ホワイトニングって、歯を削ったり痛めたりしないか不安」
そんな悩みをお持ちではありませんか? 実は、歯…
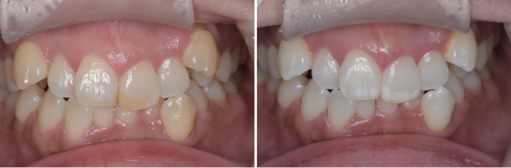
【症例紹介】1ヶ月半のホームホワイトニングで自然に白くなったケース
〜患者さま向けに分かりやすく解説します〜
「歯を白くしたいけれど、どれくらい期間がかかるの?」「ホームホワイトニングって本当に効果があるの?」
このような疑問をお持ちの方に向けて、約1ヶ月半のホームホワイトニン…
削らずに白い歯を取り戻す——Iconとホワイトニングでホワイトスポット・ブラウンスポットを自然に改善
(自由診療・菊川駅前歯科 症例紹介)
はじめに:前歯の「白い斑点」や「茶色いシミ」で悩んでいませんか?
鏡を見るたびに、前歯の白いムラや茶色のシミが気になってしまう。写真を撮ると、光の加減でその部分だけが浮き上がって見…
前歯の見た目の改善(ワイヤー部分矯正、マウスピース矯正、ホームホワイトニング、ダイレクトボンディングを併用したトータルでのご提案)
前歯の見た目改善をご希望されました。
ワイヤー矯正にて歯の並びを整えます。
その後、マウスピース矯正にて微調整を行います。
ワイヤー矯正と併用することでマウスピース単体で矯正を行うより、短…
ICON治療によるカリエスリスク改善
歯の白い白濁を気にされて来院されました。 白濁が起きている組織は中でエナメル組織が疎な状態な為、虫歯のリスクとなります。世界標準のカリエスリスク検査評価であるCAMBRAにおいても、白濁がある患者さんは虫歯ハイリスク患者となります…
icon治療とホワイトニング治療
歯の白濁の改善を希望されて来院されました。歯の黄ばみによって白濁が強調されている状態でした。
まず、ホワイトニングにて全体の歯の黄ばみの改善を行いました。これで白濁が目立ちにくくなります。歯の黄ばみもとれ綺麗な白い歯…
削らずに前歯を綺麗に
前歯の白濁や黄ばみのご相談がありました。
ホームホワイトニングとicon治療による,歯を削らずに可能な見た目の改善をご提案しました。
まず、ホームホワイトニングにて全体的な黄ばみを改善します。ご自宅にてホワイト…
ウォーキングブリーチとダイレクトボンディング
前歯の見た目を気にされていました。保険で行われた樹脂の劣化と、左上は歯の神経が死んでおり、歯の色の黒い強い変色がみられました。
そこでウォーキングブリーチ後、ダイレクトボンディングによる見た目の改善をご提案いたしました。
…
歯の強化と歯を白くするならホームホワイトニングがオススメです。|東京/墨田区/江東区
2019年06月27日
before
多少個人差はございますが、約3週間程度のご自宅での使用で下の様な白さになります。
after
フッ素を浸透させますので、歯が強化され虫歯予防にもなります。
…
白濁を消す治療(ホームホワイトニング+icon)|東京/墨田区/江東区
2019年03月27日
前歯の白濁を気にされて来院されました。
ホワイトニング後、icon治療を開始します。
薬液を浸透させ、、、
ホワイトスポットを消すことができました。
…









