歯を削らず白く】ICON(アイコン)治療で前歯の白濁を改善|菊川駅前歯科
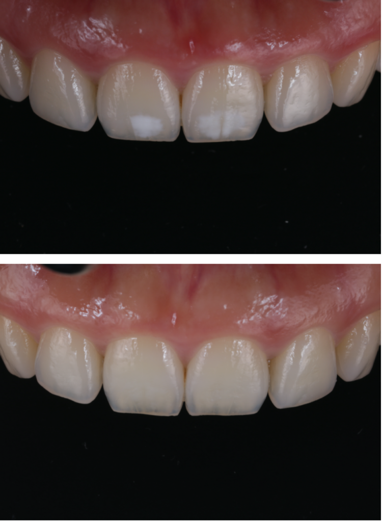
「前歯に白い斑点があるのが気になる」「虫歯じゃないのに、歯がまだらで老けて見える」「できれば歯は削りたくない」
そんなお悩みを抱えている方に、近年注目されているのがICON(アイコン)治療です。
菊川駅前歯科では、歯を…

| 診療時間 | 月 | 火 | 水 | 木 | 金 | 土 | 日 |
|---|---|---|---|---|---|---|---|
| 9:00-13:00 | ● | ● | ━ | ● | ● | ● | ━ |
| 14:00-18:00 | ● | ● | ━ | ● | ● | ● | ━ |
※予約枠が埋まっていても当日受診できる場合も
ございますので、お気軽にお電話ください。
都営新宿線「菊川駅」から徒歩0分。
「菊川駅」から近く、
墨田区・江東区・清澄白河駅・
森下駅から通いやすい菊川駅の歯医者です。
東京墨田区の歯医者
【菊川駅前歯科】
〒130-0024
東京都墨田区菊川2-6-14 マーベラス菊川1F
TEL:
03-6659-2934
最寄駅:都営新宿線
「菊川駅」
A1出口すぐ都バス錦11バス停前