根管治療で「レントゲン」と「CT」の両方が必要なのはなぜ?成功率を高めるダブルチェックの重要性
「根管治療(歯の神経の治療)で、レントゲンに加えてCTも撮ると言われたけれど、両方撮る必要はあるの?」
そんな疑問をお持ちの方も多いのではないでしょうか。実は、再発の少ない精密な根管治療を行うためには、**レ…
健康意識が高い人」ほど危ない?歯が溶ける“酸蝕症”と、それを食い止めるセラミック修復の真実
「最近、歯の先端が透けてきた気がする」 「しっかり磨いているのに、歯の表面が黄色くなってきた」 「冷たいものがしみるけれど、虫歯ではないと言われた」
もしあなたが、健康のために毎朝のレモン水やスムージー、お酢のドリン…
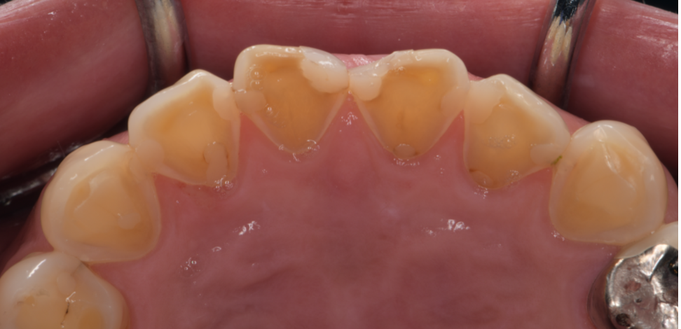
一生モノの噛み合わせ「シークエンシャル咬合」とは?あなたの歯を守る最後の切り札
「歯医者で被せ物を作ったけれど、すぐに外れてしまう」 「虫歯でもないのに、奥歯がしみて痛い」 「朝起きると顎がだるく、肩こりや頭痛が慢性化している」
もしあなたがこうした悩みを抱えているなら、それは「歯の形」の問題で…
歯の寿命を延ばす「削らない治療」とは?ダイレクトボンディングが選ばれる理由
「虫歯治療=大きく削る」というイメージをお持ちではありませんか? 実は、歯は削れば削るほど、その寿命が短くなってしまうリスクがあります。
菊川駅前歯科では、患者様の大切な天然歯を守るために、**「ダイレクトボンディング」**…
菊川駅前歯科 患者様向け重要事項のご説明
この度は菊川駅前歯科のホームページをご覧いただき、誠にありがとうございます。当院は、都営新宿線菊川駅A1出口より徒歩1分という、大変アクセスの良い場所に位置する歯科医院です。大人の方お一人おひとりの歯のお悩みに真摯に向き合…
セラミック治療の寿命は「模型」で決まる?後悔しないための3つのチェックポイント
「せっかく高い費用を払ってセラミックにするなら、一生モノにしたい」 「見た目がきれいなのは当たり前。でも、噛み心地や長持ちするかどうかも不安…」
セラミック治療を検討中の方から、よくこのようなご相談をいただきます。実…
「歯を白くする」だけじゃない?ホームホワイトニングが虫歯予防と歯質強化に効く驚きの理由
1. はじめに:その「白さ」への憧れ、実は健康への第一歩です
「鏡を見るたび、歯の黄ばみが気になる……」 「ホワイトニングって、歯を削ったり痛めたりしないか不安」
そんな悩みをお持ちではありませんか? 実は、歯…
【削らない】前歯の「白い斑点」を治す新常識!Icon(アイコン)治療とは?
こんにちは。菊川駅前歯科です。
「鏡を見るたび、前歯の白い斑点が気になる…」 「矯正が終わったけれど、装置の跡が白くなってしまった」 「白くしたいけれど、歯を削るのは抵抗がある」
そんなお悩みをお持ちではありま…
インプラントができない方のための「精密ブリッジ」|菊川駅前歯科
「骨が足りない」「持病がある」といった理由で、インプラント治療を断念された方は少なくありません。しかし、諦めるのはまだ早いです。インプラントに代わる選択肢として、近年、自由診療(自費診療)による**「精密ブリッジ」**が注目されて…
歯を削らない虫歯治療「Icon(アイコン)」とは?ホワイトスポットの悩みも解決できる最新治療を解説
「虫歯があるけれど、大切な歯を削りたくない」 「前歯にある白い斑点(ホワイトスポット)が気になって笑えない」
そんなお悩みをお持ちの方に、画期的な治療法**「Icon(アイコン)」**をご紹介します。これまでの歯科治…









