🦷歯石取りは“1回で終わるもの”ではありません
〜本当に歯を守りたい方へ。精密な歯周治療のすすめ〜
「前の歯医者さんでは1回で歯石を全部取ってくれたのに」「なんでここの歯医者さんは何回も通わなきゃいけないの?」そんな疑問を持たれたことはありませんか?
実は、“1回で…
精密根管治療で上顎洞粘膜の腫れと骨吸収が治った症例
―原因不明の違和感が改善し、自然な骨再生が見られたケース―
精密根管治療で上顎洞粘膜の腫れと骨吸収が治った症例
①「なんとなく重い」「違和感が続く」…それは歯が原因かもしれません
ある日突然、鼻の奥が重く…
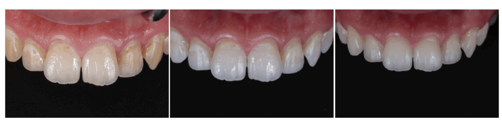
削らずに白い歯を取り戻す——Iconとホワイトニングでホワイトスポット・ブラウンスポットを自然に改善
(自由診療・菊川駅前歯科 症例紹介)
はじめに:前歯の「白い斑点」や「茶色いシミ」で悩んでいませんか?
鏡を見るたびに、前歯の白いムラや茶色のシミが気になってしまう。写真を撮ると、光の加減でその部分だけが浮き上がって見…
自然な前歯セラミック修復|作りものではない“本物の歯”のような美しさを
前歯のセラミックを“自然に見せたい”あなたへ
「前歯のセラミックが少し浮いて見える」「写真を撮ると前歯だけが白くて不自然」――そんなお悩みをお持ちの方は多いのではないでしょうか。
前歯は顔の印象の7割を…
神経を温存したセラミックアンレー修復
虫歯治療や審美修復において、「できるだけ歯を削らない」「神経を残したい」という考え方が、現代の歯科医療の中心となっています。歯の神経(歯髄)は単なる痛みの感覚器ではなく、歯の生命力そのものを保つ重要な組織です。その神経を守りながら…
見た目だけではない。歯の健康を守るための精密セラミック治療
「セラミック=見た目をきれいにするための治療」そう思っている方が多いのではないでしょうか。
確かに、セラミックは白くて美しく、天然歯のような透明感があります。金属のように黒ずんだり、歯ぐきが変色したりしない点も魅力で…
■歯を削らずに白濁を改善 ― それが「Icon(アイコン)」です
**Icon(アイコン)は、ドイツ発の最新治療法で、歯を削らずに白濁を目立たなくすることができます。エナメル質の微細なすき間(脱灰部)に特殊な浸透性レジン(樹脂)**を染み込ませることで、光の屈折率を健康な部分と近づけ、自…
隣の歯に跨る大きな骨の欠損があった歯が、1歯の精密根管治療で5年後に完全再生した症例
― “抜歯しかない”と言われた歯が、自分の力で治った理由 ―
歯の根の先に膿が溜まり、レントゲンで大きな黒い影が写っている。多くの患者さんはこの画像を見せられた瞬間に「もう抜歯しかないのですか?」と不安を感じます。しかし、*…
抜歯寸前だった左上6番を救ったエンドペリオ病変の治療
①ある日突然の腫れと痛み
「数日前から左上の奥歯の歯ぐきが腫れて、噛むとズキッと痛い」そうおっしゃって来院されたのは、40代の女性患者様でした。
左上6番(上の奥から2番目の大きな奥歯)は、数年前に神経の治療を受け、セ…
精密根管治療で骨は再生するのか?抜歯を回避できる最新歯科治療
精密根管治療は、感染によって溶けた骨を再生させ、自分の歯を残す可能性を高める治療法です。
第1章 精密根管治療とは?従来治療との違い
根管治療(こんかんちりょう)は、歯の神経や血管が通る「根管」に細菌感染が起き…









