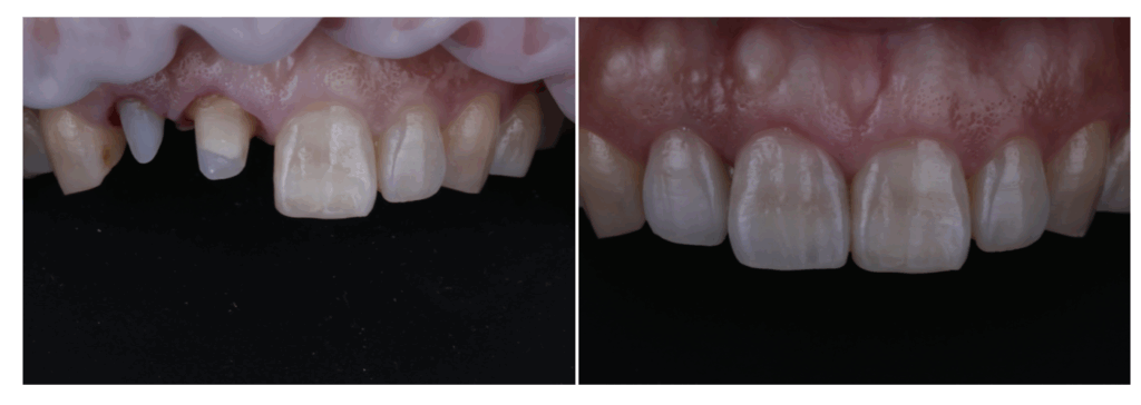
【症例紹介】右上の前歯を精密根管治療とジルコニアクラウンで美しく再生
〜見た目の美しさと再発防止を両立する前歯治療〜
はじめに:前歯の治療で大切なのは「見た目」と「再発防止」
前歯の治療というと、どうしても「見た目」に目が行きがちです。しかし、前歯は単に“白くて綺麗”であ…
【精密根管治療で上顎洞の不調まで改善】
「歯の影」と「鼻のつまり」が治った?驚きの治療結果とは
■ なんだか、歯の奥と鼻の奥がずっと重い…
「虫歯はないのに、なんとなく奥歯がズーンとする」「鼻の奥が詰まったような違和感がずっと続く」「…
神経を残す治療
歯髄とは何か―歯の中にある“生きている組織”
https://youtu.be/q6MC6ylniL4?si=O71JdYGoV9oZiemu
歯髄(しずい)という言葉を耳にしたことがある方は少ない…
ディープマージンエレベーション(Deep Margin Elevation/DME)
ディープマージンエレベーション(Deep Margin Elevation/DME)という治療法をご存じでしょうか?これは、歯の深いところまでむし歯が進行してしまい、通常の方法では詰め物や被せ物がうまく適合しない場合に行う、歯を「削らずに…
🦷歯石取りは“1回で終わるもの”ではありません
〜本当に歯を守りたい方へ。精密な歯周治療のすすめ〜
「前の歯医者さんでは1回で歯石を全部取ってくれたのに」「なんでここの歯医者さんは何回も通わなきゃいけないの?」そんな疑問を持たれたことはありませんか?
実は、“1回で…
精密根管治療で上顎洞粘膜の腫れと骨吸収が治った症例
―原因不明の違和感が改善し、自然な骨再生が見られたケース―
精密根管治療で上顎洞粘膜の腫れと骨吸収が治った症例
①「なんとなく重い」「違和感が続く」…それは歯が原因かもしれません
ある日突然、鼻の奥が重く…
削らずに白い歯を取り戻す——Iconとホワイトニングでホワイトスポット・ブラウンスポットを自然に改善
(自由診療・菊川駅前歯科 症例紹介)
はじめに:前歯の「白い斑点」や「茶色いシミ」で悩んでいませんか?
鏡を見るたびに、前歯の白いムラや茶色のシミが気になってしまう。写真を撮ると、光の加減でその部分だけが浮き上がって見…
自然な前歯セラミック修復|作りものではない“本物の歯”のような美しさを
前歯のセラミックを“自然に見せたい”あなたへ
「前歯のセラミックが少し浮いて見える」「写真を撮ると前歯だけが白くて不自然」――そんなお悩みをお持ちの方は多いのではないでしょうか。
前歯は顔の印象の7割を…
神経を温存したセラミックアンレー修復
虫歯治療や審美修復において、「できるだけ歯を削らない」「神経を残したい」という考え方が、現代の歯科医療の中心となっています。歯の神経(歯髄)は単なる痛みの感覚器ではなく、歯の生命力そのものを保つ重要な組織です。その神経を守りながら…
見た目だけではない。歯の健康を守るための精密セラミック治療
「セラミック=見た目をきれいにするための治療」そう思っている方が多いのではないでしょうか。
確かに、セラミックは白くて美しく、天然歯のような透明感があります。金属のように黒ずんだり、歯ぐきが変色したりしない点も魅力で…








