きちんと噛める義歯を作るために欠かせない「リマウント法」という調整
「入れ歯が当たって痛い」「噛むとズレる」「食事をすると疲れる」
こうした不満を抱えながら、「入れ歯ってこんなものだよね」と諦めている方は少なくありません。しかし、それは義歯の限界ではなく、調整方法の問題であることがほとんどで…
「同じレジン」だと思っていませんか?
ダイレクトボンディングと保険のレジン、その“決定的な違い”
「レジンですよね?保険でも白い詰め物できますよね?」
この質問、正直とても多いです。でも――同じ“白い材料”という言葉で片付けてしまうのは、あまりにも危険です…
前歯の治療、本当にセラミックが最善ですか?
― 前歯だからこそ「ダイレクトボンディング」という選択 ―
前歯の見た目が気になり、「セラミックを入れたほうがいいですか?」とご相談を受けることがよくあります。
確かにセラミックは美しく、耐久性の高い治療法です。しかし、すべて…
ブラウンスポットはホームホワイトニングで、白濁はICONで改善した症例のご紹介
【削らない・歯を守る審美治療】
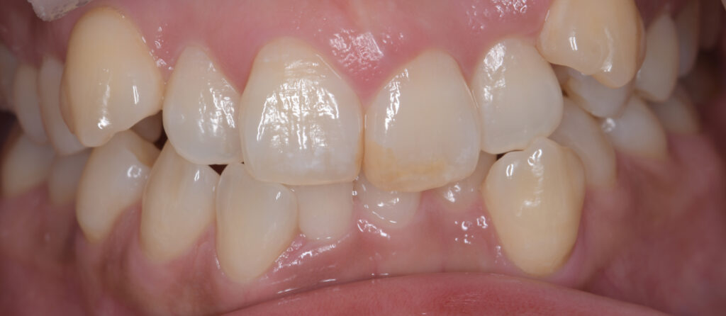
「歯の表面にある**茶色い点(ブラウンスポット)と、前歯に広がる白く濁った模様(ホワイトスポット・白濁)**が気になって…」
このようなお悩みで、墨田区・江東区・中央区エリアから…
歯の白いシミが気になる方へ|削らずに治すICON治療とは?【菊川駅前歯科】
「前歯の白いシミが気になって、思いきり笑えない」「虫歯じゃないと言われたけど、この白濁は治らないの?」
このようなお悩みで来院される方が、近年とても増えています。その白いシミの正体はホワイトスポットと呼ばれるもので、…
ダイレクトボンディングによる虫歯治療のメリット
「できるだけ歯を削らず、きれいに、長持ちする虫歯治療を受けたい」そんな方に今、選ばれているのがダイレクトボンディングです。
そしてこの治療は、どこで受けるかによって結果が大きく変わる治療でもあります。
菊川駅前歯科では…
歯の白濁が気になる方へ|削らずに改善を目指す「ICON(アイコン)治療」
最近、「歯の白濁が気になる」「前歯の白い斑点が目立って笑いづらい」と感じていませんか?鏡を見たときや写真に写った自分の歯を見て、違和感を覚えたことがある方は意外と多いものです。歯の白濁は痛みがないことがほとんどですが、見た…
奥歯をセラミックで治すメリットとは?
1. 奥歯でもしっかり噛める高い強度
「セラミックは割れやすいのでは?」という不安を持つ方もいますが、現在の歯科用セラミックは技術の進歩により非常に高い強度を持っています。特に奥歯には、ジルコニアなど噛む力に強いセラ…
銀歯を白くする治療で失敗しないために──“接着”と“噛み合わせ”が運命を決める理由
「銀歯を白くしたい」「口を開けたときに金属が見えるのが気になる」このようなお悩みからセラミック治療を検討される方は非常に多くいらっしゃいます。とくに40代以降の女性の患者さまは、見た目はもちろん、“健康面として歯を…
MTAセメントとは?|生体にやさしく神経を守る歯科材料
https://youtu.be/cGghlrI4LSE
MTA(Mineral Trioxide Aggregate)セメントは、歯科医療で使用される生体親和性の高い薬剤です。
● MTAの主な特徴
細菌…









