奥歯をセラミックで治すメリットとは?

1. 奥歯でもしっかり噛める高い強度
「セラミックは割れやすいのでは?」という不安を持つ方もいますが、現在の歯科用セラミックは技術の進歩により非常に高い強度を持っています。特に奥歯には、ジルコニアなど噛む力に強いセラミック素材が使用されることが多く、硬い食べ物でも安心して噛めます。
適切な噛み合わせの調整と正確な装着が行われれば、奥歯 セラミックは日常生活で問題なく機能し、長期間安定した状態を保ちやすい治療法です。
2. 天然歯のような自然な見た目
奥歯は見えにくいと思われがちですが、笑ったときや会話中、意外と人目に触れています。セラミックは天然の歯に近い色調や透明感を再現できるため、治療跡が目立ちません。
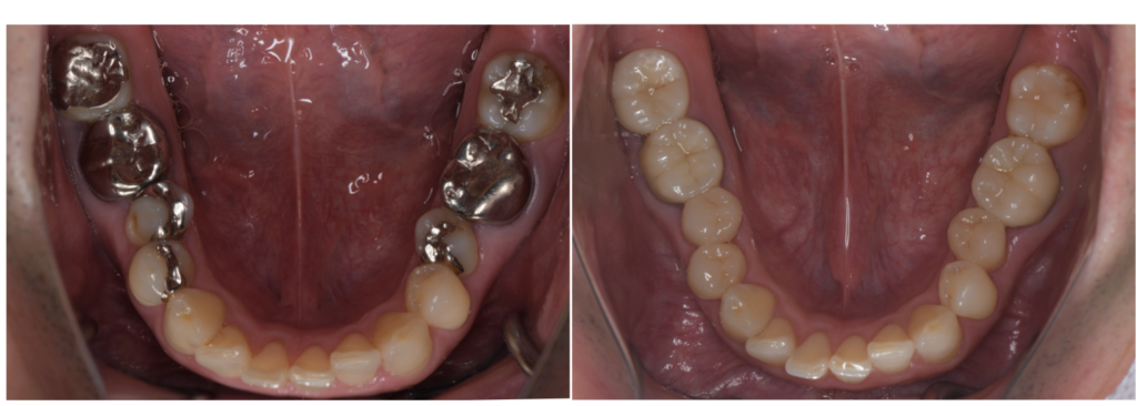
銀歯の場合、口を開けた瞬間に金属が見えてしまい、気になってしまう方も少なくありません。奥歯 セラミック 治療を選ぶことで、見た目へのストレスが減り、自然な笑顔に自信を持てるようになります。
3. 金属を使わないため体にやさしい
セラミック治療の大きなメリットの一つが、金属を使用しない点です。金属アレルギーをお持ちの方や、将来的な健康リスクを心配される方にとって、安心できる治療方法といえます。
また、銀歯は長年使用すると歯ぐきが黒ずんでしまうことがありますが、セラミックではその心配がほとんどありません。歯ぐきとのなじみが良く、口元全体を清潔で健康的な印象に保ちやすくなります。
4. むし歯の再発リスクを抑えやすい
セラミックは表面が非常になめらかで、プラーク(歯垢)や汚れが付着しにくい素材です。そのため、細菌が繁殖しにくく、むし歯の再発リスクを下げることが期待できます。
さらに、自由診療のセラミックは精密な型取りと加工が可能なため、歯と被せ物の境目がぴったり合いやすいのも特徴です。これにより、隙間から細菌が入り込むリスクが減り、長期的に歯を守ることにつながります。
5. 変色しにくく長持ちしやすい
保険の銀歯やプラスチック素材は、時間が経つと変色や劣化が起こりやすい傾向があります。一方、セラミックは長期間使用しても色が変わりにくく、美しさを保ちやすい素材です。
初期費用はやや高く感じるかもしれませんが、再治療の回数が減る可能性を考えると、結果的に負担が少なくなるケースもあります。奥歯の治療を長期的な視点で考える方には、大きなメリットといえるでしょう。
6. 奥歯のセラミック治療はこんな方におすすめ
・銀歯の見た目が気になる
・金属アレルギーが心配
・奥歯でもしっかり噛める治療をしたい
・むし歯の再発をできるだけ防ぎたい
・将来を見据えて歯を大切にしたい
このような方に、奥歯 セラミック 治療は非常に相性の良い選択肢です。
まとめ
奥歯をセラミックで治療することには、強度・見た目・安全性・清掃性・耐久性といった多くのメリットがあります。もちろん、噛み合わせや生活習慣によって適した治療法は異なるため、歯科医師と十分に相談することが大切です。
正しい知識を持つことで、治療への不安は大きく減らせます。奥歯の被せ物で悩んでいる方は、ぜひセラミックという選択肢を前向きに検討してみてください。

