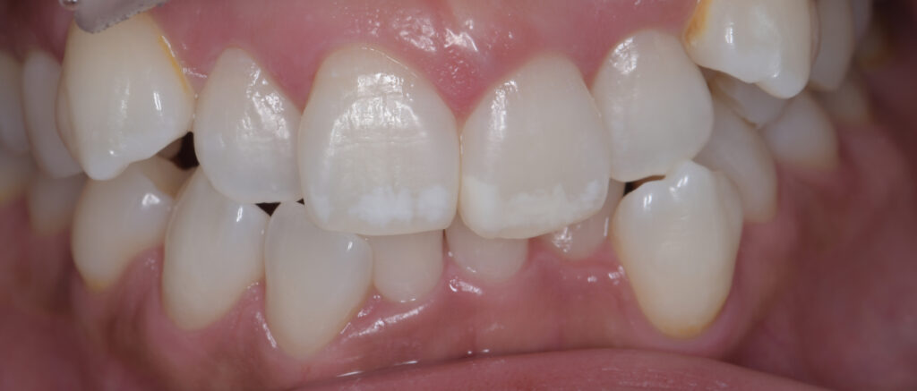
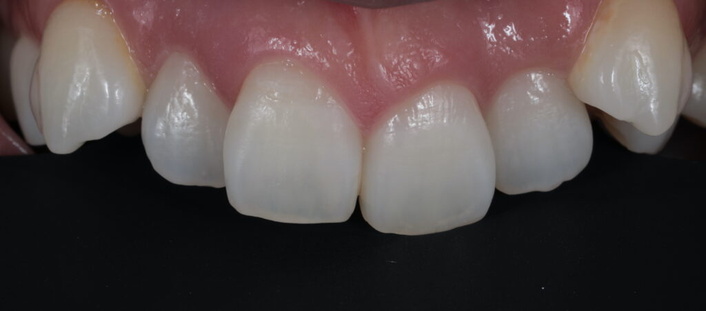
ブラウンスポットはホームホワイトニングで、白濁はICONで改善した症例のご紹介

【削らない・歯を守る審美治療】
「歯の表面にある**茶色い点(ブラウンスポット)と、
前歯に広がる白く濁った模様(ホワイトスポット・白濁)**が気になって…」
このようなお悩みで、墨田区・江東区・中央区エリアから多くの患者さまが
菊川駅前歯科にご相談に来られます。
今回ご紹介するのは、
ブラウンスポットをホームホワイトニングで改善し、白濁をICON(アイコン)治療で改善した症例です。
ブラウンスポットと白濁は「原因が違う」ため、治療も分けて考えます
一見似ているように見える歯の色ムラですが、
実は原因がまったく異なるため、同じ治療では改善しません。
ブラウンスポットとは?
- 歯の表面や内部に沈着した色素
- 加齢、飲食物(コーヒー・紅茶・赤ワインなど)、過去の脱灰が原因
- 表面を削っても再発することがある
👉 色素を分解して明るくする「ホワイトニング」が有効

白濁(ホワイトスポット)とは?
- エナメル質内部の構造異常による光の乱反射
- 子どもの頃の形成不全や初期虫歯が原因
- ホワイトニングをすると、逆に目立つこともある
👉 ICON治療で“見え方”を改善する必要があります
なぜブラウンスポットは「ホームホワイトニング」を選択したのか
今回の症例では、
ブラウンスポットが歯の内部に広がっており、
一時的なオフィスホワイトニングでは改善が不十分と判断しました。
ホームホワイトニングのメリット
- 時間をかけて色素を分解できる
- 色ムラを自然に整えやすい
- 後戻りが少ない
- 歯へのダメージが少ない
菊川駅前歯科では、
患者さまの歯質・生活習慣に合わせて濃度や使用期間を細かく設計しています。
その結果、
ブラウンスポットは周囲の歯となじむレベルまで自然に改善しました。
白濁にはICON治療を選択|削らずに改善できる理由
ホワイトニング後、
白濁(ホワイトスポット)がはっきり確認できたため、
ICON治療を追加しました。
ICONは、
- 歯を削らない
- 麻酔不要
- 1回の処置で改善可能なケースが多い
という特徴があります。
ICON治療の仕組み
白濁部分に特殊な樹脂を浸透させることで、
光の反射を周囲のエナメル質と近づける治療です。



「白い模様そのものを削る」のではなく、
“目立たなくする”ことで自然な見た目に整えるのがICONの本質です。
治療後の変化|「何もしていない歯」に見える仕上がりへ
- ブラウンスポット → ホームホワイトニングで自然にトーンアップ
- 白濁 → ICON治療で境目がわからないレベルに改善
患者さまからは
「近くで見ても色ムラがわからなくなった」
「削らずにここまで変わると思わなかった」
というお声をいただきました。

この症例からわかる大切なこと
✔ 色ムラの原因を正確に診断すること
✔ ホワイトニングとICONを使い分けること
✔ 見た目だけでなく、歯を守る治療を選ぶこと
これらが揃って初めて、
後悔のない審美治療になります。
墨田区・江東区・中央区で
ブラウンスポット・白濁でお悩みの方へ
菊川駅前歯科では
- 顕微鏡による精密診断
- 削らない治療を第一選択
- 無理にセラミックを勧めない方針
を大切にしています。
「ホワイトニングで良いのか」
「ICONで改善できるのか」
「削る治療が本当に必要なのか」
まずは正確な診断からご相談ください。
あなたの歯を、
できるだけ削らず・長く守る選択肢をご提案します。

