Home > 精密根管治療 > 精密根管治療による治療

精密根管治療による治療

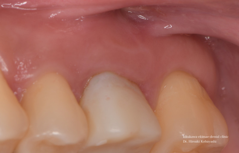
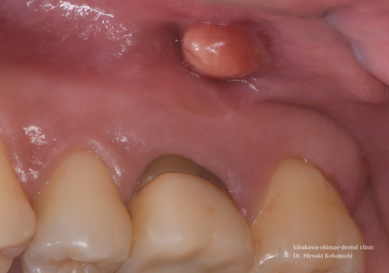
歯茎からオデキが出来たと来院されました。 CT撮影を行いますと、根の感染が見られました。感染の長期の放置により骨が溶けており、歯の保存が難しそうな状況でした。痛みもなく、特に生活に支障はありませんが、刻一刻と早期に歯を失う方向に進んでいます。おそらく、数年このままですと痛みもなくある日、ぐらぐらし、抜け落ちていたでしょう お話し合いの上、精密根管治療にて歯の保存を希望されましたので、治療を開始しました。   時間をかけ、顕微鏡を使用し感染の除去を行なっていきます。過去に根の処置を行なった時に入れたであろう薬剤や膿や出血が出てきます。 2時間程度のアポイントを3回お取りし、精密根管治療が完了しました。 オデキはなくなり、無事歯を残す事が出来ました。   CTにて経過を見ますと骨の再生が起きています 約6ヶ月〜程度かけて骨の再生が起こります。 リスク 極端に硬いものを噛むとかける可能性があります。 各種治療費はこちらから

診療予約はこちらから※予約枠が埋まっていてもお電話いただければ対応できることもあります

電話でのご予約は 03-6659-2934

菊川駅前歯科のホームページはこちらから

 

菊川駅前歯科KIKUKAWA EKIMAE DENTAL

価値のある診療をみなさまへ

診療時間
9:00-13:00
14:00-18:00
休診日
水曜・日曜・祝日
診療時間
平日:9:00-13:00 / 14:00-18:00土曜:9:00-13:00 / 14:00-18:00

ご予約・ご相談はお気軽に!

※予約枠が埋まっていても当日受診できる場合も
ございますので、お気軽にお電話ください。

※当院では精密治療に専念するため、診療対象を18歳以上の方とさせていただいております
ホワイトスポット治療は15歳以上が対象となります
※誠に恐れ入りますが、当院では小児の診療はお断りしております

墨田区・菊川駅から
徒歩すぐの歯医者
「菊川駅前歯科」

都営新宿線「菊川駅」から徒歩0分。
「菊川駅」から近く、
墨田区・江東区・清澄白河駅・
森下駅から通いやすい菊川駅の歯医者です。

菊川駅から徒歩2分の歯医者「菊川駅前歯科」

東京墨田区の歯医者
【菊川駅前歯科】
〒130-0024
東京都墨田区菊川2-6-14 マーベラス菊川1F
TEL: 03-6659-2934

最寄駅:都営新宿線
「菊川駅」
A1出口すぐ都バス錦11バス停前