Home > 矯正 > 上前歯の部分矯正

上前歯の部分矯正

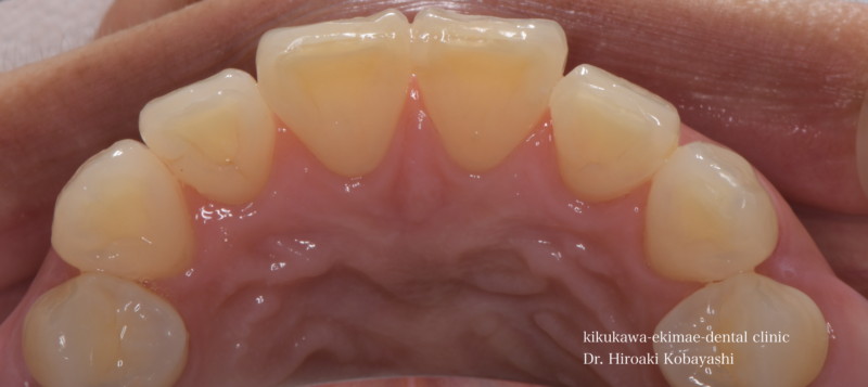
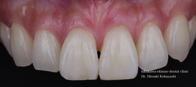
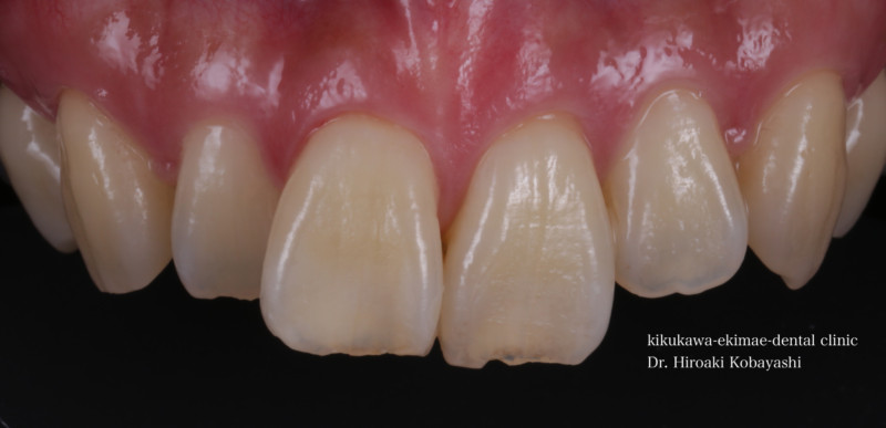
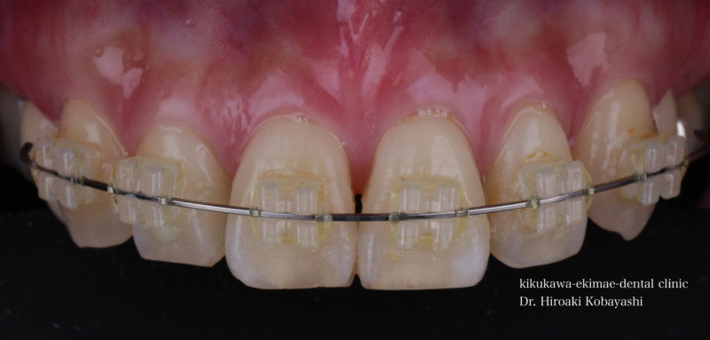
歯並びを気にされて来院されました。見た目改善を目的にワイヤーによる部分矯正を希望されました。 ブラケット装着用のマウスピースを作り、ブラケット装着を行います。   弱い力をかけながら、ワイヤーにより歯を動かします。強い力を急にかけると歯の根が吸収されてしまいます。なので弱い力で歯を動かすことによって根への負担が少なく歯根吸収のリスクが少なくなります。               6ヶ月程度で歯の並びを改善することができました。   before after    

診療予約はこちらから※予約枠が埋まっていてもお電話いただければ対応できることもあります

電話でのご予約は 03-6659-2934

菊川駅前歯科のホームページはこちらから

菊川駅前歯科 Kobayashi dental office 東京都墨田区菊川2-6-14 1F    

菊川駅前歯科KIKUKAWA EKIMAE DENTAL

価値のある診療をみなさまへ

診療時間
9:00-13:00
14:00-18:00
休診日
水曜・日曜・祝日
診療時間
平日:9:00-13:00 / 14:00-18:00土曜:9:00-13:00 / 14:00-18:00

ご予約・ご相談はお気軽に!

※予約枠が埋まっていても当日受診できる場合も
ございますので、お気軽にお電話ください。

※当院では精密治療に専念するため、診療対象を18歳以上の方とさせていただいております
ホワイトスポット治療は15歳以上が対象となります
※誠に恐れ入りますが、当院では小児の診療はお断りしております

墨田区・菊川駅から
徒歩すぐの歯医者
「菊川駅前歯科」

都営新宿線「菊川駅」から徒歩0分。
「菊川駅」から近く、
墨田区・江東区・清澄白河駅・
森下駅から通いやすい菊川駅の歯医者です。

菊川駅から徒歩2分の歯医者「菊川駅前歯科」

東京墨田区の歯医者
【菊川駅前歯科】
〒130-0024
東京都墨田区菊川2-6-14 マーベラス菊川1F
TEL: 03-6659-2934

最寄駅:都営新宿線
「菊川駅」
A1出口すぐ都バス錦11バス停前