手術用顕微鏡(歯科用マイクロスコープ)を使用した、ダイレクトボンディング と精密根管治療とMIセラミック修復

部位が特定できない歯のお痛みのご相談でした。レントゲン上にて一番奥歯の歯の神経の炎症が原因と疑われましたが、他院にて最近,保険の樹脂を詰めたので後から行いたいというご希望と、侵襲が少ない箇所からの治療をご希望されましたので2次感染が起きている銀歯や保険の白い樹脂が詰まっている箇所から治療を開始しました。

ラバーダム防湿を行い、プラークの染め出しを行い接着を阻害する因子であるプラーク(細菌の塊)を視覚化しパウダーにて機械的な除去をします。
まず、保険の白い樹脂の処置ではコストと時間の関係上このような前処理が不可能なため、この多くのプラーク(細菌の塊)が残っている状態にて樹脂を詰めてしまい、細菌の侵入を容易に許し、新たな痛みの原因を作る可能性もあります。プラークが存在することにより接着剤の効果もなくなり、短期間に知らずの間に細菌の侵入経路ができてしまい数年後には大きな虫歯が再発し、その時には今回と同じような治療では治せないことが殆どです。

手術用顕微鏡下にて虫歯を取りきり、接着処理を確実に行います。虫歯治療において歯の予後を考える上でここが一番大事なステップになります。保険の処置では唾液の侵入などを考慮し接着操作は20秒ぐらいで終わらせざるおえないステップですが、接着処理は確実に行うとすると少なくとも5分以上かかる処理になります。
ラバーダム防湿下では時間をかけ確実な接着操作が可能ですので十分に接着剤を効かせることができ、細菌の侵入を防ぐ事が可能となります。

ここまでのレベルの工程を行って、初めて原因歯の鑑別診断と判定が可能となります。

しかし、予想された通り、痛みの改善はなく、奥歯は残念ながら、歯の神経が死んでいました。
前述の通り、細菌の侵入を許した状態の虫歯処置は接着不良や細菌感染を引き起こし、歯の神経を失活(神経が死んでしまう状態)させることがよくあります。
手術用顕微鏡下にて精密根管治療を行います。根の中は複雑な形をしており、途中から根が繋がり、感染物質を除去する際の死角となっていたり、根の中に石灰化物が存在し、根の先を塞いでいたりしていたりなど、様々な要因が治癒の妨げになります。
顕微鏡動画①
顕微鏡動画②
特に、このようなピンポイントでの汚染部位の除去は限られた短時間の処置、ルーペ や裸眼では不可能であり、保険診療のように短時間ではなく、治療時間が適切に確保された手術用顕微鏡下での治療ではないと不可能になります。(動画は別症例)

精密根管治療後、不快症状等は落ち着き改善が見られました。

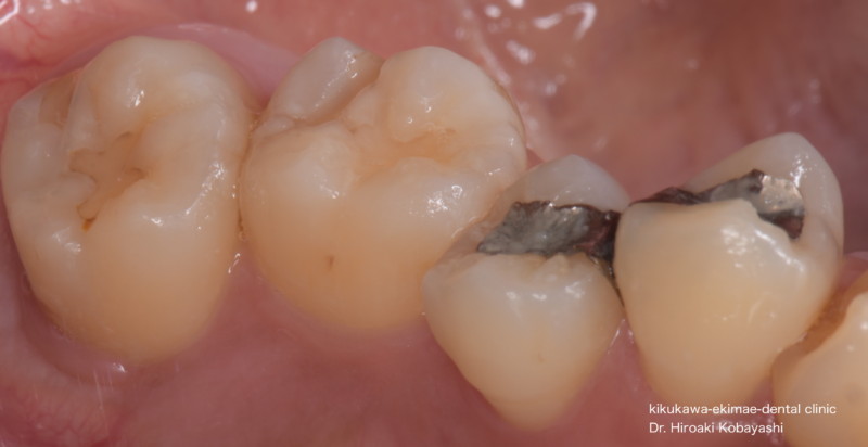
その後、適切に設計されたセラミックのマテリアル選択と適切な修復デザインを行い、修復を行います。
歯の修復の目的は歯の剛性を回復し機能させることになります。
とりあえず残っているからという理由で中途半端に強度の担保されていない歯質を残し、考えなしに強度が高いだけの修復物を入れてしまうと歯自体の剛性は回復されず、痛みの再発、天然歯の破折や細菌の再感染の温床等になります。
歯をなるべく削らない治療(MI治療)は健全な歯質を適切に残し、歯を長く持たせるために行う事であり、理由もなく不健全な歯質を残して歯の寿命自体を短くするという事ではありません。MI治療は適切に診断された上でラバーダムや手術用顕微鏡を使用し適切に行う必要があります。

保険のものでも症状が消えることはあります。しかし、保険の処置はどんな処置でもせいぜい15分~20分程度しか確保されてないものになります。保険の処置は場当たり的に痛みを取ることを目的としていますので、再発に関しては何も考慮されていません。1本の歯に1~2時間確保されている自由診療とはそもそも考え方が別物だと思っていただければかと思います。
保険で行う歯の修復は再感染のリスクが高く、行うたびに歯の持ちがどんどん悪くなって行くと思っていただければかと思います。
リスク 極端に硬いものを噛むと取れたり、かける可能性があります。
ラバーダム、顕微鏡等を使用し適正な時間を確保された治療は自由診療となります。
各種治療費はこちらから
電話でのご予約は
03-6659-2934
菊川駅前歯科 Kobayashi dental office
東京都墨田区菊川2-6-14 1F