Home > 矯正 > 部分矯正による前歯の見た目の改善

部分矯正による前歯の見た目の改善

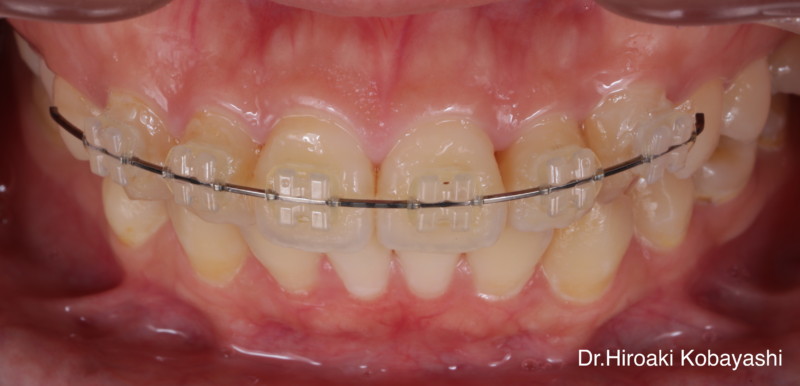
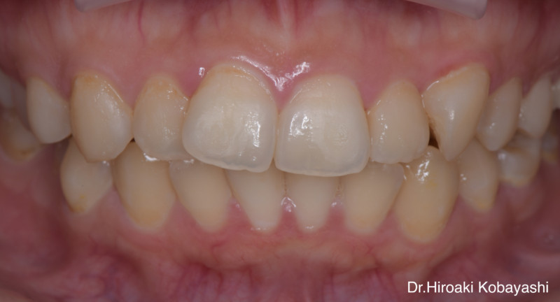
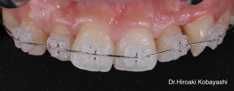
前歯の見た目のご相談の場合、幾つかの選択肢があります。 ①歯を切削しセラミックを被せる方法 ②ダイレクトボンディングにて歯を全く削らず、もしくは最小限の切削による見た目の改善 ③部分矯正 適応としては ・術前に大きな樹脂や被せ物が入っている場合は①のセラミックによる改善 ・削る量が無いもしくは最小限で済むのであれば②のダイレクトボンディング ・セラミックによる改善があまりにも侵襲が大きい場合は③の部分矯正 ・もしくは①〜③の併用   一部の審美系クリニックで行われている様な、なんでもかんでも削ってセラミックで見た目の改善を行うことは歯の寿命を考えると非常に危険です。 今回は③の部分矯正による見た目の改善を行いました。 3ヶ月程度で歯が並びました。         before after   リスク 歯の移動に多少の痛みを伴う場合があります。   各種治療費はこちらから

診療予約はこちらから※予約枠が埋まっていてもお電話いただければ対応できることもあります

電話でのご予約は 03-6659-2934

菊川駅前歯科のホームページはこちらから

   

菊川駅前歯科KIKUKAWA EKIMAE DENTAL

価値のある診療をみなさまへ

診療時間
9:00-13:00
14:00-18:00
休診日
水曜・日曜・祝日
診療時間
平日:9:00-13:00 / 14:00-18:00土曜:9:00-13:00 / 14:00-18:00

ご予約・ご相談はお気軽に!

※予約枠が埋まっていても当日受診できる場合も
ございますので、お気軽にお電話ください。

※当院では精密治療に専念するため、診療対象を18歳以上の方とさせていただいております
ホワイトスポット治療は15歳以上が対象となります
※誠に恐れ入りますが、当院では小児の診療はお断りしております

墨田区・菊川駅から
徒歩すぐの歯医者
「菊川駅前歯科」

都営新宿線「菊川駅」から徒歩0分。
「菊川駅」から近く、
墨田区・江東区・清澄白河駅・
森下駅から通いやすい菊川駅の歯医者です。

菊川駅から徒歩2分の歯医者「菊川駅前歯科」

東京墨田区の歯医者
【菊川駅前歯科】
〒130-0024
東京都墨田区菊川2-6-14 マーベラス菊川1F
TEL: 03-6659-2934

最寄駅:都営新宿線
「菊川駅」
A1出口すぐ都バス錦11バス停前