部分矯正にて反対咬合を改善

部分矯正による前歯の見た目を改善をご希望されました。
両側の2番目の歯が反対に噛んでいる反対咬合がよく見られます。この状態は長い目で見ると非常に危険な状態です。
反対咬合の前歯によって、顎の動きが規制され奥歯が噛み辛く、奥歯に必要以上の負担がかかります。この状態を長年続けていると、歯に多くのヒビが入り虫歯菌が生息しやすい状態になり、歯のお手入れが悪くなると短期間で奥歯に集中した多くの虫歯を作る事になります。また、銀歯やセラミックにて歯の修復をしても今度は修復した歯が割れてくる事が多く見られます。
また、顎関節症や奥歯の喪失にてご相談に来ていただく方も、前歯の歯列不正が原因で起こっていると思われるケースが多々あります。
しかし、永久歯になってから、この噛み合わせなのでご本人は自覚もなく見た目以外、この噛み合わせの状態が普通だと思ってらっしゃる事が良くあります。

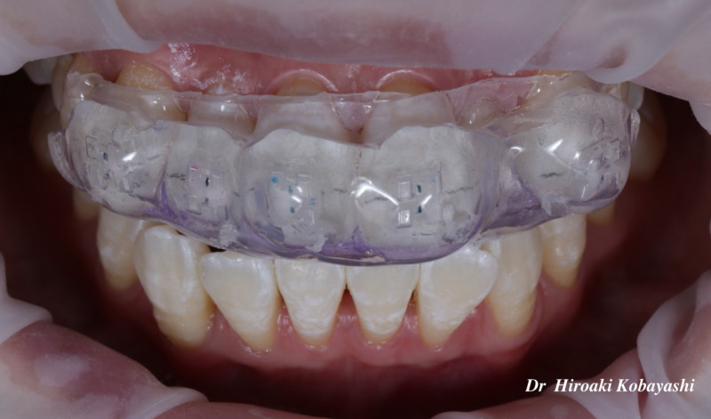
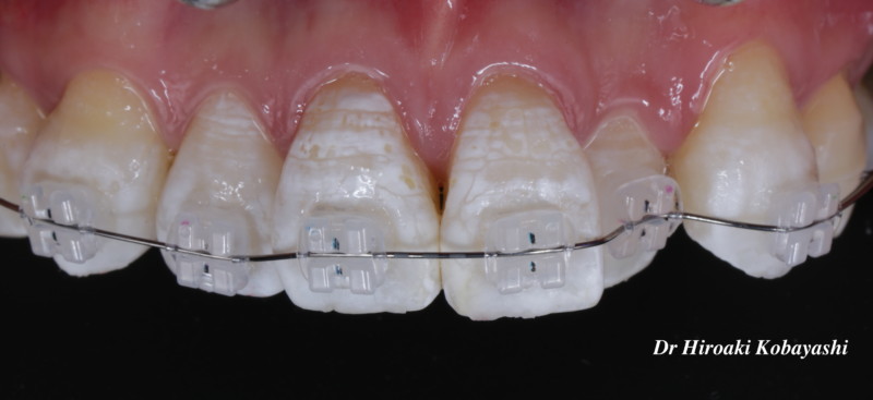
ブラケットを正確な位置に位置付けるためのマウスピースを製作しブラケットを装着します。

約6ヶ月かけて歯を動かします。装置をつけている事に心理的ハードルが無ければ、マウスピース矯正と比べブラケット矯正の方が早く終わる事が多く、取り外しの煩わしさがなためオススメです。

反対咬合が改善されました。

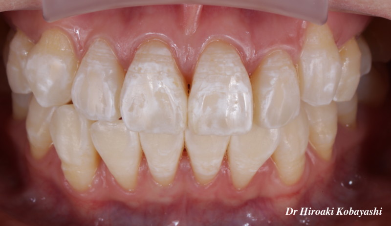
before

after
各種治療費はこちらから
電話でのご予約は
03-6659-2934