Home > 矯正 > 前歯の歯並びを気にされている方は部分矯正がお勧めです。|東京/墨田区/江東区

前歯の歯並びを気にされている方は部分矯正がお勧めです。|東京/墨田区/江東区

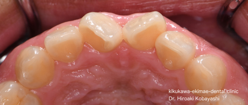
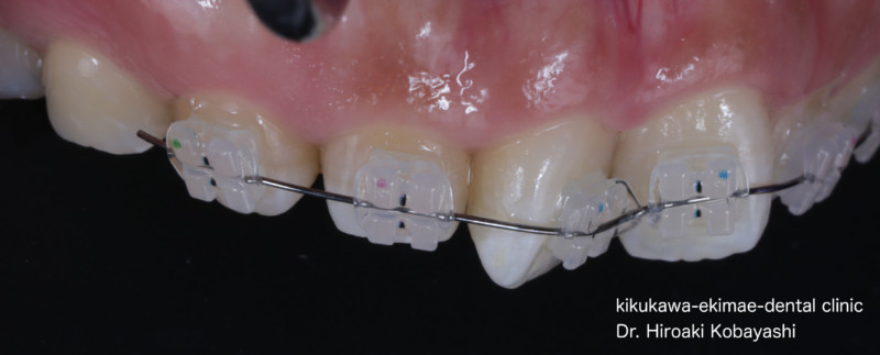
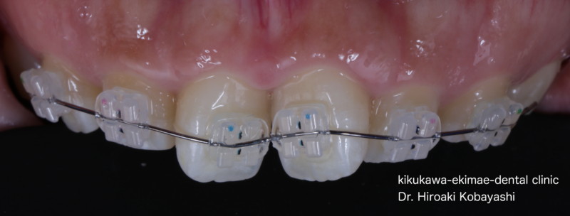
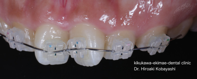
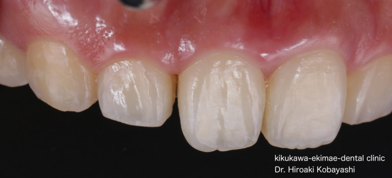
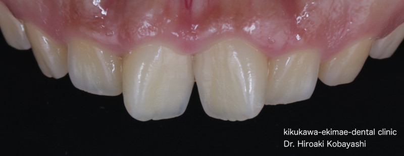
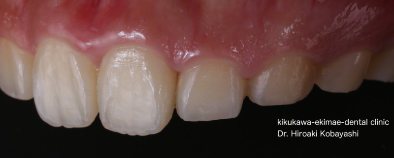
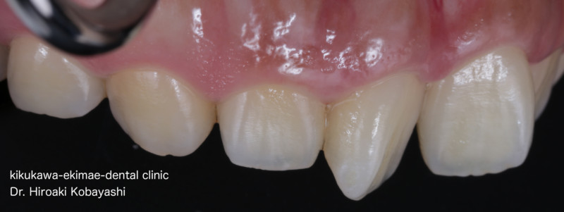
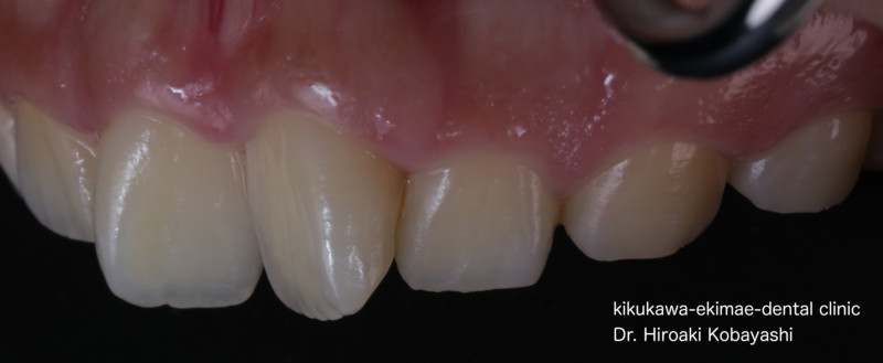
  前歯の歯並びを気にされていました。奥歯に関しては問題なく噛んでいましたので部分矯正をご提案させていただきました。 部分矯正とは部分的に歯の移動を行い、見た目の改善や、被せ物のために大きく削る必要や神経を取る必要を回避する方法になります。 通常2,3年かかる全体矯正とは異なり、部分矯であれば6ヶ月程度の短期間で歯の移動を完了することができます。     ブラケットと呼ばれる装置を歯に装着します。 従来の金属のものより目立ちにくです。 ワイヤーを通し歯の移動を行います。   本ケースは6ヶ月を予定しておりましたが、4ヶ月程度で歯並びを改善することができました。その後、保定を行い、歯並びを維持します。 この方法はインビザラインなどのマウスピース矯正よりも短期間で治療を完了できる可能性が高いため、短期間のブラケット装置の装着を特に気にされない方にはブラケットによるプチ矯正をお勧めしています。 また、6ヶ月程度の装着であれば、そこまで負担ではないですし、目立つ矯正は案外、矯正している人=歯に意識が高い人に見られるという良い印象を与えるかもしれません。     before after     リスク 歯の移動中は痛みが起こる場合があります 各種治療費はこちらから

診療予約はこちらから※予約枠が埋まっていてもお電話いただければ対応できることもあります

電話でのご予約は 03-6659-2934

菊川駅前歯科のホームページはこちらから

 

菊川駅前歯科KIKUKAWA EKIMAE DENTAL

価値のある診療をみなさまへ

診療時間
9:00-13:00
14:00-18:00
休診日
水曜・日曜・祝日
診療時間
平日:9:00-13:00 / 14:00-18:00土曜:9:00-13:00 / 14:00-18:00

ご予約・ご相談はお気軽に!

※予約枠が埋まっていても当日受診できる場合も
ございますので、お気軽にお電話ください。

※当院では精密治療に専念するため、診療対象を18歳以上の方とさせていただいております
ホワイトスポット治療は15歳以上が対象となります
※誠に恐れ入りますが、当院では小児の診療はお断りしております

墨田区・菊川駅から
徒歩すぐの歯医者
「菊川駅前歯科」

都営新宿線「菊川駅」から徒歩0分。
「菊川駅」から近く、
墨田区・江東区・清澄白河駅・
森下駅から通いやすい菊川駅の歯医者です。

菊川駅から徒歩2分の歯医者「菊川駅前歯科」

東京墨田区の歯医者
【菊川駅前歯科】
〒130-0024
東京都墨田区菊川2-6-14 マーベラス菊川1F
TEL: 03-6659-2934

最寄駅:都営新宿線
「菊川駅」
A1出口すぐ都バス錦11バス停前