Home > ダイレクトボンディング > 中程度の虫歯に対する治療(ダイレクトボンディング )|東京/墨田区/江東区

中程度の虫歯に対する治療(ダイレクトボンディング )|東京/墨田区/江東区

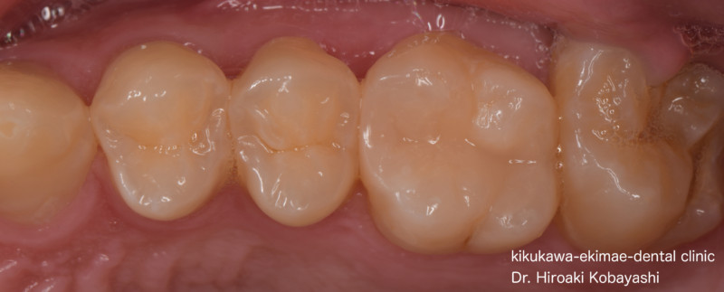
一見、小さな虫歯に見えますが、、、、 虫歯は硬いエナメル質組織の隙間から侵入し、柔らかい象牙質に至り逆円錐状に広がっています。そのため、中々気づかず、穴が空いていると自覚した頃には神経に達している事がよくあります。   幸い、神経に達していませんでしたので、ダイレクトボンディング にて一回の治療で完了となりました。 治療費 ¥40,000 リスク 極端に硬いものを噛むと割れる可能性があります

診療予約はこちらから

電話でのご予約は 03-6659-2934

菊川駅前歯科のホームページはこちらから

   

菊川駅前歯科KIKUKAWA EKIMAE DENTAL

価値のある診療をみなさまへ

診療時間
9:00-13:00
14:00-18:00
休診日
水曜・日曜・祝日
診療時間
平日:9:00-13:00 / 14:00-18:00土曜:9:00-13:00 / 14:00-18:00

ご予約・ご相談はお気軽に!

※予約枠が埋まっていても当日受診できる場合も
ございますので、お気軽にお電話ください。

※当院では精密治療に専念するため、診療対象を18歳以上の方とさせていただいております
ホワイトスポット治療は15歳以上が対象となります
※誠に恐れ入りますが、当院では小児の診療はお断りしております

墨田区・菊川駅から
徒歩すぐの歯医者
「菊川駅前歯科」

都営新宿線「菊川駅」から徒歩0分。
「菊川駅」から近く、
墨田区・江東区・清澄白河駅・
森下駅から通いやすい菊川駅の歯医者です。

菊川駅から徒歩2分の歯医者「菊川駅前歯科」

東京墨田区の歯医者
【菊川駅前歯科】
〒130-0024
東京都墨田区菊川2-6-14 マーベラス菊川1F
TEL: 03-6659-2934

最寄駅:都営新宿線
「菊川駅」
A1出口すぐ都バス錦11バス停前