Home > 矯正 > 部分矯正にて見た目の改善

部分矯正にて見た目の改善

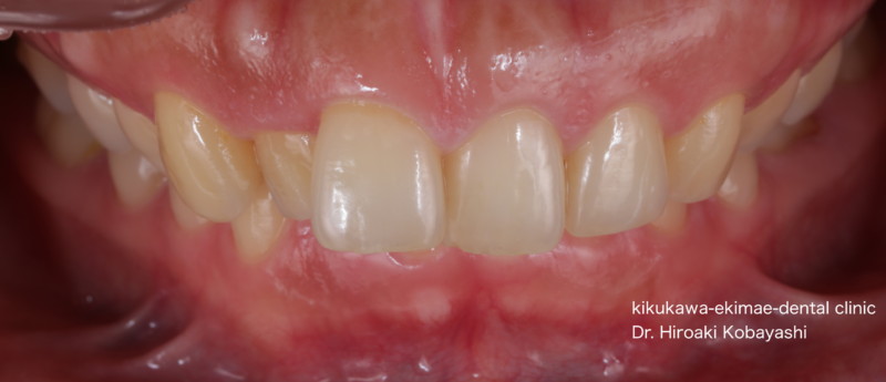
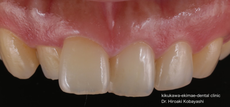
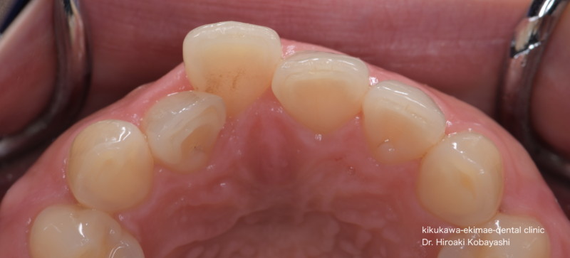
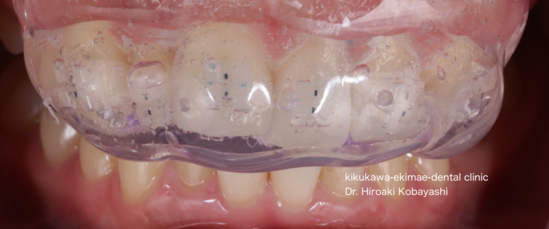
  前歯の歯並びを気にされていました。 治療費用や期間を踏まえ、前歯のみの歯並び改善をご希望されました   インダイレクトボンディング法というブラケット装着法により、正確な位置に装置を装着することが可能となり、これにより治療期間の短縮につながります。 約3〜4ヶ月程度にて歯の並びが改善しました。   この後、リテーナーを用い歯の後戻りを防ぎます。     リスク 歯の移動に多少の痛みを伴う場合があります。 歯の移動後は後戻りを防ぐため一定期間、保定が必要となります 各種治療費はこちらから

診療予約はこちらから※予約枠が埋まっていてもお電話いただければ対応できることもあります

電話でのご予約は 03-6659-2934

菊川駅前歯科のホームページはこちらから

   

菊川駅前歯科KIKUKAWA EKIMAE DENTAL

価値のある診療をみなさまへ

診療時間
9:00-13:00
14:00-18:00
休診日
水曜・日曜・祝日
診療時間
平日:9:00-13:00 / 14:00-18:00土曜:9:00-13:00 / 14:00-18:00

ご予約・ご相談はお気軽に!

※予約枠が埋まっていても当日受診できる場合も
ございますので、お気軽にお電話ください。

※当院では精密治療に専念するため、診療対象を18歳以上の方とさせていただいております
ホワイトスポット治療は15歳以上が対象となります
※誠に恐れ入りますが、当院では小児の診療はお断りしております

墨田区・菊川駅から
徒歩すぐの歯医者
「菊川駅前歯科」

都営新宿線「菊川駅」から徒歩0分。
「菊川駅」から近く、
墨田区・江東区・清澄白河駅・
森下駅から通いやすい菊川駅の歯医者です。

菊川駅から徒歩2分の歯医者「菊川駅前歯科」

東京墨田区の歯医者
【菊川駅前歯科】
〒130-0024
東京都墨田区菊川2-6-14 マーベラス菊川1F
TEL: 03-6659-2934

最寄駅:都営新宿線
「菊川駅」
A1出口すぐ都バス錦11バス停前