Home > ダイレクトボンディング > ダイレクトボンディングによる審美改善|東京/墨田区/江東区

ダイレクトボンディングによる審美改善|東京/墨田区/江東区

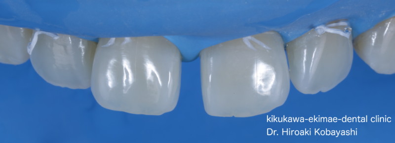
前歯の見た目の改善をご希望でした。 術前 ダイレクトボンディング による前歯の見た目の改善をご希望されました。   術中 術後 治療内容 ・歯を削らずに表面にレジンを築盛する治療   リスク・極端に硬いもの等を噛むと欠けるリスクがあります。  

診療予約はこちらから

電話でのご予約は 03-6659-2934

菊川駅前歯科のホームページはこちらから

 

菊川駅前歯科KIKUKAWA EKIMAE DENTAL

価値のある診療をみなさまへ

診療時間
9:00-13:00
14:00-18:00
休診日
水曜・日曜・祝日
診療時間
平日:9:00-13:00 / 14:00-18:00土曜:9:00-13:00 / 14:00-18:00

ご予約・ご相談はお気軽に!

※予約枠が埋まっていても当日受診できる場合も
ございますので、お気軽にお電話ください。

※当院では精密治療に専念するため、診療対象を18歳以上の方とさせていただいております
ホワイトスポット治療は15歳以上が対象となります
※誠に恐れ入りますが、当院では小児の診療はお断りしております

墨田区・菊川駅から
徒歩すぐの歯医者
「菊川駅前歯科」

都営新宿線「菊川駅」から徒歩0分。
「菊川駅」から近く、
墨田区・江東区・清澄白河駅・
森下駅から通いやすい菊川駅の歯医者です。

菊川駅から徒歩2分の歯医者「菊川駅前歯科」

東京墨田区の歯医者
【菊川駅前歯科】
〒130-0024
東京都墨田区菊川2-6-14 マーベラス菊川1F
TEL: 03-6659-2934

最寄駅:都営新宿線
「菊川駅」
A1出口すぐ都バス錦11バス停前